DIY Hack the Panke
Science by Doing
With students from the Gustav-Freytag Schule
The project Science by Doing offered the pupils of the Gustav-Freytag-Schule a wide range of events about the River Panke, spread throughout 2019. Through workshops and visits the Art Science collective DIY Hack the Panke made it possible for students to artistically explore biology, chemistry, design and ecology, and to implement their own ideas. In addition to workshops on the topics of urban ecology, microplastics (Kat Austen, Joana MacLean), microbiodiversity (Sarah Hermanutz, India Mansour, Daniel Lammel) and wetland ecology (Sarah Hermanutz, Nenad Popov), there were performances such as the Wasserklang Orchestra (Kat Austen), where the pupils examined the Panke using self-made instruments, which was later presented as an installation at the Berlin State Opera.
Further workshops on algae and speculative design (Fara Peluso) introduced the students to current topics on sustainability and biomaterials. The school science club also visited Art Laboratory Berlin, the Lacuna Lab and the Futurium. Finally an art and science exhibition was presented in the school with the results.
Program
Workshops, Courses and Visits with Artists, Scientists and Curators of DIY Hack the Panke
- Microplastics with Kat Austen and Joana MacLean | February 2019
- Wetland Ecology with Sarah Hermanutz and Nenad Popov | March 2019
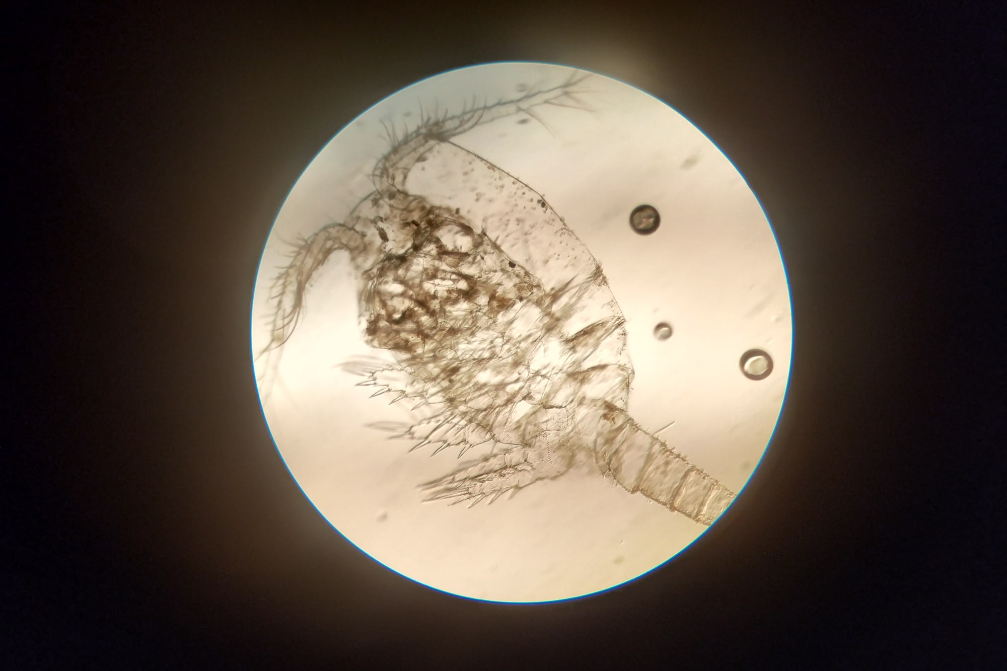
- Micro-biodiversity of the river Panke I and II with India Mansour, Sarah Hermanutz and Daniel Lammel | May 2019
- Visit of the exhibition Silkworm Project at Art Laboratory Berlin with Regine Rapp and Christian de Lutz | June 2019
- Wasserklang-Orchestra with Kat Austen | May 2019
- Algae-Workshop with Fara Peluso | October 2019
- Visit of the studios at Lacuna Lab with Sarah Hermanutz und Nenad Popov | Oktober 2019
- Visit at the exhibition Mind the Fungi at Futurium with Fara Peluso, Kustrim Cerimi and Christian de Lutz | November 2019
- Final Workshop with artists and biologists of DIY Hack the Panke | December 2019
- Final Project of the Science Group with Petri dish preparation for Borderless Bacteria exhibition with Christian de Lutz | December 2019
- Final exhibition and presentation at Gustav-Freytag-Schule

